I can’t exactly pinpoint the injury that caused me to go from running 10+ miles of intervals to barely being able to walk down a hallway. But the timeline goes something like this:
10/23: Completed Atlanta 10 Miler. 15:03mm pace. Finished sore, but able to walk.
10/29: Completed a 5 mile long run. 13:25mm pace. Zero issues.
11/4: Complated a 10 mile training run. 14:28mm pace. Less sore than the previous 10 miles.
11/6: Decided to try new shoes (Hokas) during a 3 mi short run. Felt my left knee twinge around mile 2.5. Mostly walked back the remaining .5 mi to my car.
11/8: 2 miles in my old shoes. No issues.
11/11: Set out to do 11 mile training run. Felt pain first few miles, settled down and felt ok for mile 3-9, pain in last two miles. 14:43mm pace. Very sore afterwards. Difficulty walking Fri afternoon & Saturday. Massage Sunday. Felt a bit better.
11/15: 2 miles. Short intervals. (:15/:30) Felt ok. 13:47mm pace. But sore afterwards. Decided to skip planned 15K that Saturday to give knee more rest.
11/22: A whole week of rest! Went to run 2 miles and BAM! Knee tanked in first minutes. Aborted run, walked back to start. Lots of pain.
So so as you see, from the first twinge on 11/6, I had varying degrees of “successful” runs until 11/22 when the knee said “no more!”
From that point, I could hardly walk at all. I started PT, was misdiagnosed with IT Band Syndrome. I suspected a hamstring tear because I couldn’t lift my left leg up to kick my butt. I literally couldn’t lift the leg with my hamstrings. I couldn’t stand on the left foot. I couldn’t lift my leg to engage my parking break.
I wasn’t impressed with the PT, so I gave up and went back to my miracle working massage therapist. It took 4-5 painful visits but she finally got the muscles working again, so the dysfunction began to clearly point at the knee joint. Before this, I couldn’t even pinpoint the source of the pain. My leg just hurt. Everywhere. I sucked it up and finally made an appointment with an orthopedic Dr. I fully expected him to diagnose me with a torn meniscus or ligament and suggest surgery. A worst case scenario, in my mind.
He took a look at the Xrays and diagnosed me with severe osteoarthritis. He said my knees were worse than a typical 60 year old’s knees. I would eventually need both knees replaced, but I was too young. So my orders were to stop running, keep losing weight, and use anti-inflammatories, as needed. And even if I did tear a meniscus, he couldn’t operate because I didn’t have enough cartilage left in my knee. If he cleaned up the meniscus, I would be even more bone on bone, and in worse shape.

So I went in expecting surgery as the worst case scenario, and left with very little hope at ever getting back to where I had worked so hard to get to with my running. Who knew there was a wose-than-worst-case-scenario?
After a month of rehabbing, massage, strength exercises, attempts at power walking, I requested the MRI, because I still wanted to know what else was going on. Why did the left hurt so much more than the right? Why the inner knee pain? Why could I do 4-5 miles of slow intervals (I had scrapped back to a 15ish mm pace, with :15/:45 intervals) and feel minimal pain while running, but was basically immobile with pain the rest of the day?
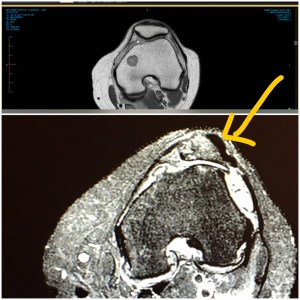
The results from the MRI showed a torn meniscus, some bursitis and most debilitating, a severely misaligned patella.

My patella is noted to be on the verge of dislocation at all times. My formerly conservative doctor went from telling me to wait a few years for my inevitable surgery to warning me that if I wait too long, surgery won’t even be an option I’ll let him tell it:

So here we are. I don’t blame my running for injuring my knee. According to my physiology, I shouldn’t be walking much at all, much less running. My doctor thinks much of this damage came from multiple knee dislocations in my teens and 20s that weren’t properly repaired. Add in obesity and pregnancies in my 30/40s and my knees were doomed.
I absolutely credit Jeff Galloway‘s Run-Walk-Run method for taking someone who was 100 pounds overweight with this physiology and allowing her to run double digit distances. My theory is that the muscles were working so hard to hold my knee joint together, that at some point, they just couldn’t. Add in normal muscle imbalances that many runners get and it explains how my left leg basically self destructed in November.